Dentisourire

Souriez avec confiance

Nos réalisations

Bienvenue dans notre cabinet dentaire, où votre confort et votre bien-être sont au cœur de nos préoccupations. Notre équipe de professionnels est dédiée à vous fournir des soins dentaires de qualité, en utilisant des technologies avancées pour garantir votre satisfaction. Découvrez un environnement accueillant et chaleureux, prêt à répondre à tous vos besoins en matière de santé bucco-dentaire.

Découvrez nos cas cliniques

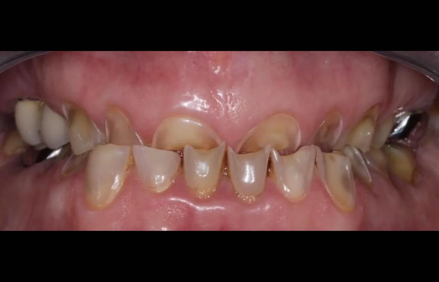
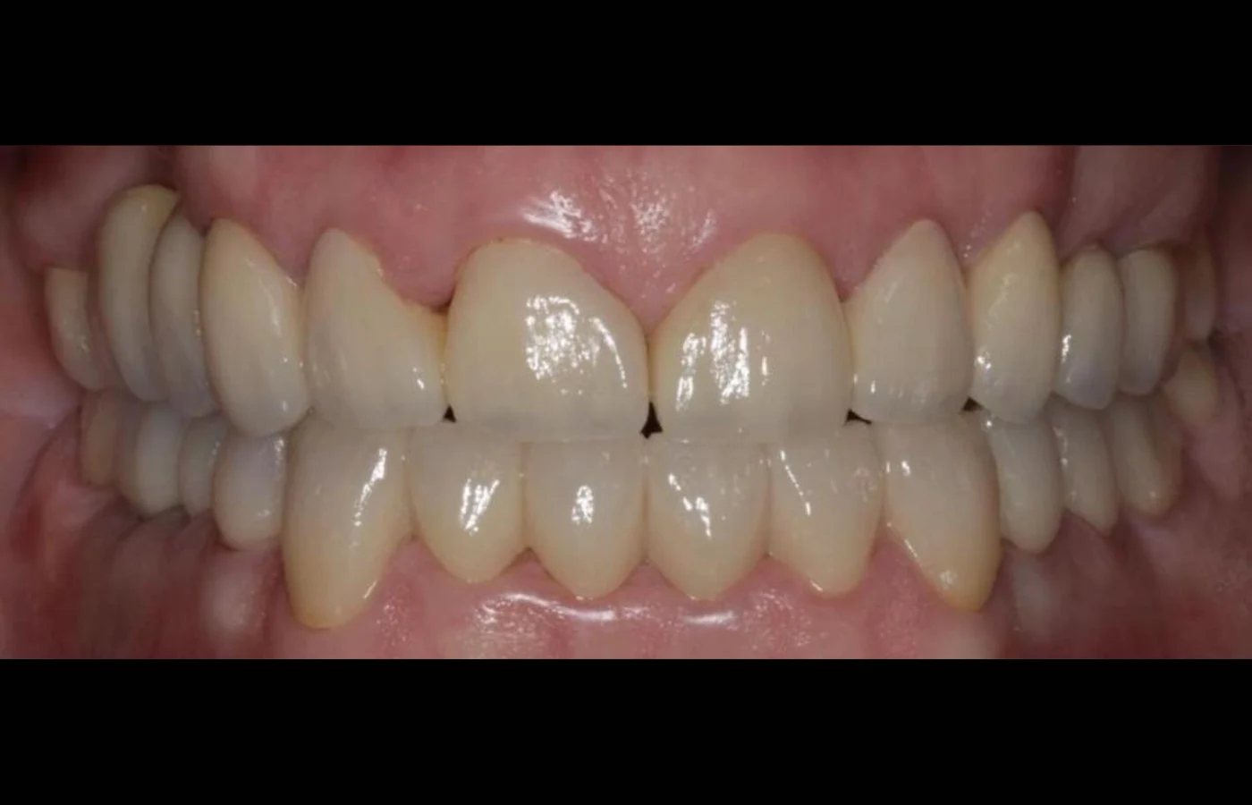
Découvrez ici quelques cas cliniques qui illustrent notre engagement envers des soins de qualité. Grâce à des technologies modernes et un environnement confortable, nous garantissons des traitements efficaces et adaptés à chaque patient.

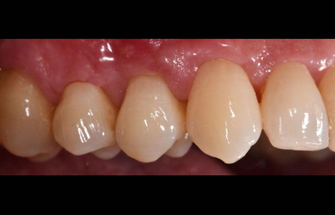
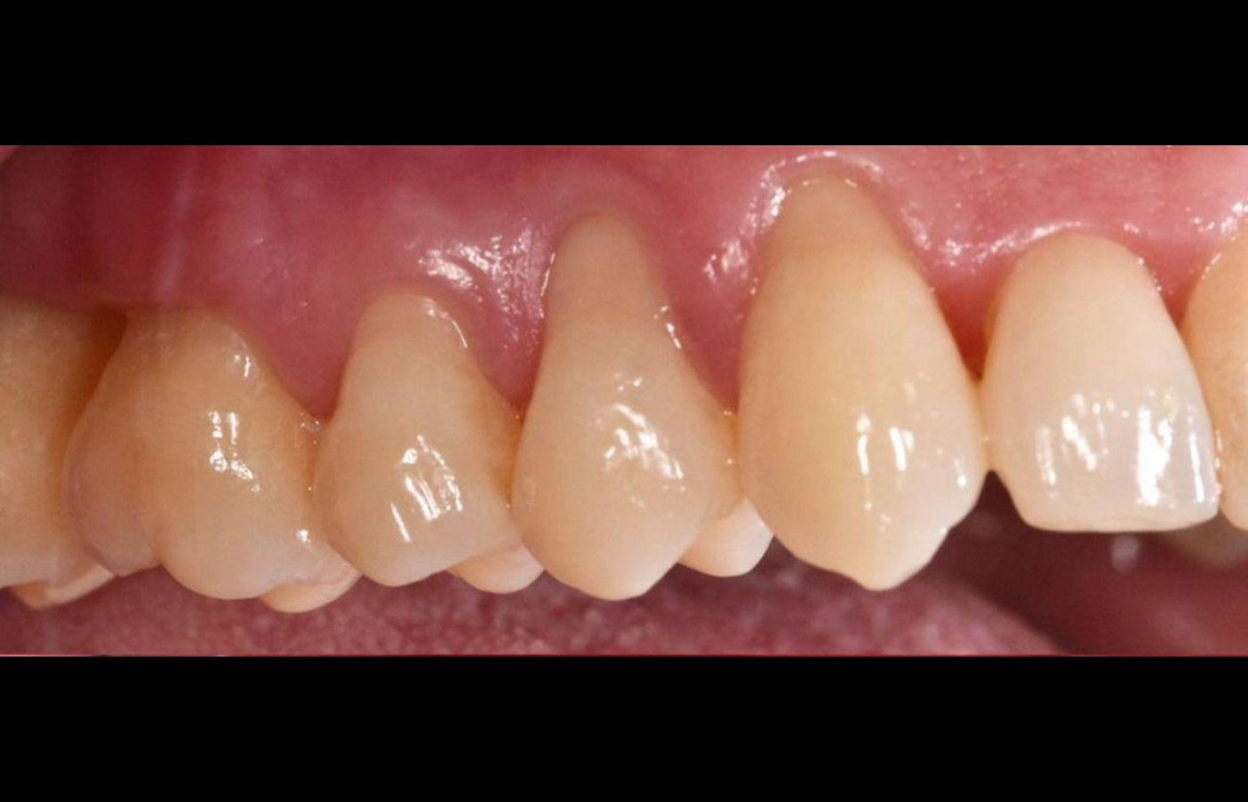
Greffe gingivale

Greffe gingivale à partir d'un échantillon de genciveGreffe gingivale à partir d'un échantillon de gencive
traitement-orthodontietraitement-orthodontie

Implant dentaire

traitement-orthodontietraitement-orthodontie
traitement-orthodontietraitement-orthodontie

Prenez soin de votre sourire dès aujourd’hui

Transformez votre expérience dentaire. Notre équipe est là pour vous offrir des soins de qualité dans un environnement accueillant. Prenez rendez-vous facilement et redécouvrez le plaisir dun sourire éclatant.

Nos procédures cliniques détaillées

Découvrez nos démarches cliniques en trois étapes : Consultation initiale : Évaluation personnalisée de votre santé dentaire. Plan de traitement : Propositions adaptées, avec explication détaillée des soins recommandés. Suivi post-traitement : Assurez votre confort et votre satisfaction à chaque étape.